网站首页
公司首页
产品招商
企业资讯
行业展会
[注册]
[登录]
陕西渭南神州德信医学成像技术有限公司
陕西渭南神州德信医学成像技术有限公司
360保健品网
13121076218
所在地区: 北京市
企业简介
招商区域:全国
查看详情 >
热门招商
更多 >
数字眼自动筛查平台
招商区域:
[全国]
数字肺系统
招商区域:
[全国]
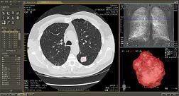
肺癌计算机辅助诊断系统
招商区域:
[全国]
企业新闻
暂时没有资讯信息!