-
| 品牌: |
无 |
型号: |
无 |
| 产地: |
江苏·徐州 |
产品注册号: |
无 |
各种人流方式特点比较:★?盲刮术的风险一方面是医生在积累经验过程中的手术风险,另一方面是即使是有经验的医师也可能会出现子宫穿孔、子宫出血或吸刮不全等事故。★?盲刮术更严重的后果是由于缺乏目标,只能进行...
-
| 品牌: |
无 |
型号: |
无 |
| 产地: |
山东·德州 |
产品注册号: |
鲁德械备20150118号 |
本公司主要经营进口手术器械,全科手术器械,包含基础手术器械,骨科手术器械,妇科手术器械,心胸手术器械,肝胆外科手术器械,神经外科手术器械,胸腔镜下手术器械,椎间孔镜手术器械等,所用钢材为无镀层医用钢,...
-
| 品牌: |
君乐宝 |
型号: |
无 |
| 产地: |
北京 |
产品注册号: |
无 |
可以装进口袋的高场强磁疗仪??——301旋转磁理疗仪?适合医院临床治疗使用、更适合家庭保健使用?治疗原理:1、促进微循环及代谢、改善组织营养供应??2、止痛????3、消炎、消肿???4、解痉镇静??...
-
| 品牌: |
术可家 |
型号: |
2 |
| 产地: |
湖北·孝感 |
产品注册号: |
无 |
抑菌、???????止血、?????????防粘连、????????????????促进愈合、??????????疤痕、提高免疫力?壳聚糖(chiotosan)是自然界中带正电荷的天然高分子物质,具有...
-
| 品牌: |
无 |
型号: |
无 |
| 产地: |
湖北·孝感 |
产品注册号: |
无 |
性能特点:1、外形整洁大方、罩壳可放置蜡块、刀片拆卸方便快捷,切片刻度指示、调拨一目了然。2、采用进口导轨、微时机构持久耐用。3、刀架座移动、可调、任意锁定,确保刀口全长使用。4、切片角度大小可调节,...
-
| 品牌: |
SureSight |
型号: |
SureSight |
| 产地: |
国外·美国 |
产品注册号: |
无 |
伟伦公司的视力筛选仪是通过检测眼睛的屈光度来判断视力。手持式SureSight视力筛选仪可解决需通过视力表筛查的任何问题,且可携带到医疗场所以外的任何地方进行筛查,由于在检查过程中需要小的合作性,Su...
-
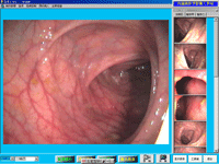
| 品牌: |
技易 |
型号: |
JY-nkj |
| 产地: |
江苏·徐州 |
产品注册号: |
无 |
内窥镜影像工作站可与内窥镜(包括胃镜、肠镜、纤维镜等)连接,获取内窥镜影像,辅助医师书写诊断报告,管理病历,支持图像的正像、负像,圆形、矩形(截取图像的一部分)采集,提供大量诊断词库,功能灵活,操作简...
-
| 品牌: |
无 |
型号: |
无 |
| 产地: |
国外·美国 |
产品注册号: |
无 |
广州市否泰医疗设备服务有限公司是国际医疗设备供应商。公司集维修、销售、租赁、检测为一体,主要提供包括超声板块、探头、软镜、硬镜、摄像系统、监护仪的销售、维修及配件的全方位服务。公司有完备的技术和人员配...
-
| 品牌: |
福的 |
型号: |
DD-5 |
| 产地: |
山东·济南 |
产品注册号: |
无 |
低速离心机...
-
| 品牌: |
无 |
型号: |
无 |
| 产地: |
江苏·常州 |
产品注册号: |
无 |
欣佳盟LED医用观片灯,采用进口光学材料,超薄,厚25mm,插片感应,手动、自动两用,旋钮或智能调光,亮度显示,亮度记忆,定时关机,分区点亮描述:?优异的选材,严格的质量控制体系?????观片灯的观察...
-
| 品牌: |
康培思 |
型号: |
无 |
| 产地: |
国外·韩国 |
产品注册号: |
无 |
1.?公司长期致力于在医疗器械、药品、保健食品、化妆品、消毒产品以及其他健康相关产品注册,积累了近十年的注册申报经验。2.?为客户提供全方位的产品政策咨询、立项调研、注册申报、临床研究、数据统计、专业...
-
| 品牌: |
无 |
型号: |
无 |
| 产地: |
山东·德州 |
产品注册号: |
鲁德械备20150118号 |
妇科手术器械阴式器械包阴道扩张器...
-
| 品牌: |
无 |
型号: |
无 |
| 产地: |
山东·德州 |
产品注册号: |
鲁德械备20150118号 |
医用不锈钢无镀层手术拆线剪有14cm、9cm、11cm、13cm、15cm等不同规格...
-
| 品牌: |
博人康 |
型号: |
3贴 |
| 产地: |
湖北·武汉 |
产品注册号: |
无 |
医用退热贴...
-
| 品牌: |
fluke |
型号: |
Fluke18B |
| 产地: |
上海 |
产品注册号: |
无 |
Fluke18B数字万用表供应Fluke18B特价FLUKE18BFLUKE18B万用快速、直观、智能的测试发光二极管(LED。Fluke18B数字万用表创新的测试发光二极管(LED)功能实现了通过两...